common orthodontic problems
A malocclusion, or “bad bite”, occurs when the teeth and/or jaw bones do not fit together properly. This may result in speech difficulties, inaccessibility for proper hygiene, premature tooth wear, injury to the teeth and jaw joints, and compromised function and esthetics. Orthodontic treatment may be necessary to straighten teeth and promote ideal health and function.

The following is a description of the more common orthodontic problems.
One or more of the top front teeth fit inside the bottom teeth, which may lead to misalignment of the growing jaw, strain on the temporomandibular (jaw) joint (TMJ), or accelerated tooth wear. When a crossbite occurs with the front teeth, it is termed an anterior crossbite.
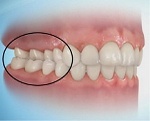
There is insufficient room in the jaws for all of the teeth to erupt through the gums in an ideal position. This results in crooked teeth that are difficult to clean and maintain, and may lead to tooth decay, periodontal or gum disease, and/or tooth loss.
There is excessive vertical overlap between the upper front teeth and the lower front teeth. This may cause premature tooth wear or gingival (gum tissue) inflammation or recession when the lower front teeth bite into the roof of the mouth.
If the center of the upper and lower front teeth are not lined up relative to each other, it may be a sign that the back teeth do not fit together properly.
There is no vertical overlap between the upper and lower front teeth (i.e., the front teeth do not touch) when the back teeth are in contact. This may interfere with speech and eating and is likely to cause excessive wear on the back teeth. Individuals with this type of bite often complain of an inability to completely bite through their food, such as a sandwich. This may be a result of thumb sucking, tongue thrusting, or an underlying skeletal (jaw bone) problem.
One or more of the top back teeth fit inside the bottom teeth, which may lead to misalignment of the growing jaw, strain on the temporomandibular (jaw) joint (TMJ), or accelerated tooth wear. When a crossbite occurs with the back teeth, it is termed a posterior crossbite.
The lower front teeth extend out in front of the upper front teeth. This is due to either the lower front teeth (or lower jaw) being too far forward or the upper front teeth (or upper jaw) being too far back, or a combination of the two. This relationship can lead to abnormal tooth wear and/or jaw joint (TMJ) dysfunction.
There is excessive horizontal overlap between the top and bottom front teeth. Protruded front teeth is due to either the top front teeth (or top jaw) being too far forward or the bottom front teeth (or bottom jaw) being too far back or a combination of the two. In active individuals, particularly children and adolescents, this tooth/jaw relationship can result in tooth fracture or trauma if there is a blow to the front of the mouth. This relationship can also lead to abnormal tooth wear and/or jaw joint (TMJ) dysfunction.
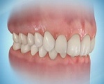
There is space between adjacent teeth, which may be caused by missing or undersized teeth, oversized jaws, or a combination of the two. Spacing of the teeth can lead to food impaction and speech problems.
Contact Dr. Pambrun if you have concerns about the common problems above.
Anterior Crossbite
Crowding
Deep Bite (Excessive Overbite)
Midline Asymmetry
Open bite
Posterior Crossbite
Protrusion of Bottom Front Teeth (Negative Overjet)
Protrusion of Top Front Teeth (Excessive Overjet)
Spacing
Copyright © 2013
Jason M. Pambrun, DDS, MS
All Rights Reserved.
5903 East Mall
Atascadero, Ca. 93422
Tel: 805-466-1064
Fax: 805-466-2908
Pambrun Bracing/Classic Smiles by Dr. Jason M. Pambrun is a premiere Atascadero, California orthodontic office (orthodontist / dentist), providing braces, clear braces, gold braces, and Invisalign® (invisible braces) in Atascadero, CA
Website created by Dr. Jason M. Pambrun (Atascadero orthodontist, North County orthodontist) forPambrun Bracing/Classic Smiles by Dr. Jason M. Pambrun, providing braces, clear braces, gold braces, Invisalign (invisible braces) to Atascadero, Cambria, Cayucos, Creston, Morro Bay, North County San Luis Obispo, Paso Robles, San Luis Obispo, Santa Margarita, San Miguel, Shandon, Templeton